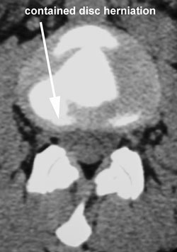
About A Juneau Contained Cervical Spine Disc Herniation

![contained disc seen by pptargetlocation]] chiropractor](/corporate/uploads/contained-disc-bw.jpg)

A thorough, clinical examination that may include imaging is important to your recovery.
In-office, Aurora Chiropractic Center uses Cox Technic Flexion Distraction and Decompression to lower the pressure in the disc so the nucleus pulposus returns to the center of the disc, aid in the healing of the torn anular fibers, and drive out chemicals that irritate and inflame the spinal nerves.
You must understand that it takes three months for a torn disc to heal well enough to allow you to return to daily activities like working at a computer, talking on the telephone for a long period of time, etc.
The first three to four weeks of concentrated treatment, therapies, and at-home care are designed to allow the best opportunity for the disc to heal quickly.
This three month window does not mean that you must be treated continually throughout this time period, but means that you must be cautious and aware of your spine's healing. Recognize that even though the pain is gone, sometimes in a day or two or week or two, healing is still taking place and could be hindered if you do something to aggravate the process.
At home you will want to avoid sleeping on your stomach, wear a neck brace if recommended, take nutritional supplements that help rebuild disc cartilage, exercise, and modify your daily activities as needed. You will want to work closely with us at Aurora Chiropractic Center to ensure your treatment is properly administered and your return to maximum health is maximized.
Exercise is important to your recovery and prevention of future pain.
important to start exercises as soon as possible, not vigorously, but gently.
Do only exercises recommended.
Do exercises only to your tolerance.
- C5-6 Disc Herniation
- Cervical Spine Pain Patient Avoids Surgery with Cox Distraction
- C5-6 Disc Herniation with Radiculopathy and Instability Relieved with Cox Technic Flexion Distraction and Decompression
- Spinal Cord Edema at Cervical Disc Herniation Level
- Two Cervical Disc Herniations: One Contacts Spinal Cord; One Does Not
- Cervical Spine Pain with Arm Pain in a Non-Congruent Patient Who Wants to Direct His Own Care
- Scapular Pain as an Indicator of Cervical Nerve Root
- Pre and Post MRI Study of a Large Herniated Disc at C5/C6 Treated with Cox® Technique
- 66 year old female with bilateral arm and leg pain with neck and low back pain of years duration
- Common Case Requiring Well-Designed Spinal Manipulation Protocol: Cervical Spine Degenerative Disc Disease With Scleratogenous Pain Distribution
- C5-6 and C6-7 Disc Herniation with Spinal Stenosis Causing Nerve Root Impingement - Relieved with Cox Technic
- Facet Arthropathy Induced Nerve Root Compression Resulting in Motor Weakness and Neck and Arm Pain - Relieved with Cox Technic
- Cervical Spine Radiculopathy (arm pain) with a disc/spur complex at C5/6 with left nerve root compression - pain relieved with Cox Technic
- C6-7 Disc Herniation with Neck Pain Relieved
Contact Aurora Chiropractic Center for an evaluation of your cervical spine contained disc.
