A simple definition for such a life-affecting problem. In Juneau or anywhere else, chronic pain takes its toll on the body and mind - literally - of its sufferers.
Chronic pain prompts
- low back pain discomfort (1)
- stature change (1)
- balance problems (2)
- posture loss (3)
- muscle loss in the trunk (especially extensor muscles for which Aurora Chiropractic Center has a low back strengthening exercise that may be recommended to you) and knees of patients with chronic lumbar pain. (3)

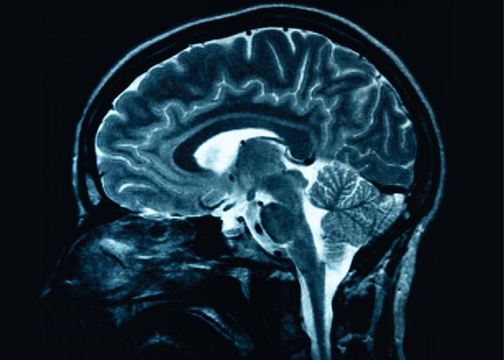
But even more astounding, chronic pain is associated with reduced brain gray matter and impaired cognitive ability to think and reason. (4) But there is good news: Reduction of chronic pain shows brain regeneration. (4)
Aurora Chiropractic Center offers effective chiropractic care relief for chronic pain sufferers. Using Cox Technic spinal manipulation along with our other services, our Juneau chronic pain sufferers find relief of their chronic back pain and leg pain conditions in 12 visits and 29 days (5) and chronic neck pain and arm pain condition in 13 visits. (6)
Aurora Chiropractic Center’s chiropractic treatment of chronic pain is non-surgical, gentle and safe. Your care may include exercise and nutrition in addition to spinal manipulation. Know that our cooperative efforts - yours and ours - may yield you the chronic pain relief you desire to finally get beyond that pain that goes beyond the normal range for healing. You may again enjoy your life with reduced pain … and more brain power!Review the referenced articles discussing chiropractic care and chronic pain, then contact Aurora Chiropractic Center, your Juneau chiropractic center, to start your journey to chronic pain relief today.
